Upala umnjaka – što je, zašto nastaje i kako se liječi
ŠTO, GDJE, KAKO...?
Bol u stražnjem dijelu čeljusti, oteklina i poteškoće pri otvaranju usta često su znak da se nešto događa s umnjakom. Upala umnjaka (poznata i kao perikoronitis) jedan je od najčešćih razloga za posjet stomatologu kod mladih odraslih osoba. Ako se ne reagira na vrijeme, može uzrokovati ozbiljne komplikacije – od infekcija i jake boli, do širenja upale na okolna tkiva i limfne čvorove. Stomatolozi iz Smile Studija Rijeka objašnjavaju sve što trebate znati o upali umnjaka – od uzroka i simptoma, do dijagnoze, liječenja i prevencije.
Umnjaci, poznati i kao treći kutnjaci, posljednji su zubi koji izrastaju u ustima. Obično niču između 18. i 25. godine života, iako kod nekih osoba mogu izbiti ranije ili kasnije – a kod nekih se uopće ne razviju. Tijekom evolucije ljudska čeljust postala je manja, dok je broj zuba ostao isti. Zbog toga umnjaci često nemaju dovoljno prostora za pravilan rast, pa mogu izrasti pod krivim kutem, djelomično izbiti kroz desni ili ostati potpuno zadržani u kosti (tzv. impaktirani umnjaci). Upravo takve situacije najčešće uzrokuju upalu umnjaka, jer omogućuju nakupljanje bakterija i ostataka hrane ispod dijela desni koji prekriva zub.
Zašto nastaje upala umnjaka?
Upala umnjaka nastaje kada bakterije uđu u prostor između zuba i desni. Najčešće se javlja kod djelomično izniklih umnjaka, gdje je dio krune zuba još uvijek prekriven mekim tkivom. Taj „džep" postaje idealno mjesto za razvoj bakterija. Uzroci koji pogoduju upali su nedostatak prostora za pravilan rast umnjaka, nakupljanje plaka i ostataka hrane, loša oralna higijena u stražnjem dijelu usta, trauma od suprotne čeljusti (zub koji udara u polueruptirani umnjak), oslabljen imunitet i postojeća infekcija u okolnim zubima. Ako se ne reagira na vrijeme, infekcija se može proširiti i uzrokovati oticanje lica, povećane limfne čvorove pa čak i povišenu temperaturu.
Simptomi upale umnjaka
Simptomi upale mogu varirati ovisno o težini stanja, ali najčešće uključuju:
-
bol u stražnjem dijelu čeljusti (često pulsirajuću i šireću prema uhu ili vratu),
-
oteklinu desni oko umnjaka,
-
crvenilo i osjetljivost na dodir,
-
poteškoće pri otvaranju usta,
-
neugodan zadah ili okus u ustima,
-
povećane limfne čvorove ispod čeljusti,
-
povišenu temperaturu i osjećaj slabosti u težim slučajevima.
Kod nekih pacijenata simptomi se smiruju i ponovno vraćaju, što je znak kronične upale umnjaka.
Kako stomatolozi dijagnosticiraju upalu umnjaka
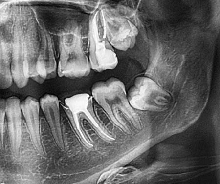
Dijagnoza se postavlja kliničkim pregledom i radiološkom analizom. Stomatolog najprije procjenjuje stanje desni, položaj umnjaka i opseg upale. Zatim se obično radi ortopan (rendgenska snimka cijele čeljusti) ili CBCT snimka, koja pokazuje točan položaj zuba i njegov odnos prema okolnim strukturama, poput živca donje čeljusti. U Smile Studiju Rijeka koristi se digitalna dijagnostika visoke rezolucije, što omogućuje precizno planiranje terapije i izbjegavanje komplikacija.
Faze upale umnjaka
![]()
Upala umnjaka obično prolazi kroz nekoliko faza:
-
Početna iritacija desni – blaga bol i crvenilo, obično bez otekline.
-
Akutna upala – jaka bol, oteklina, ponekad otežano otvaranje usta.
-
Širenje infekcije – upala se može proširiti na okolna tkiva, obraze ili vrat.
-
Kronični perikoronitis – povremene epizode upale s lošim zadahom i mogućim gnojnim iscjetkom. U težim fazama nužna je hitna intervencija stomatologa, jer se infekcija može proširiti i na dublje slojeve tkiva.
Liječenje upale umnjaka
Liječenje ovisi o težini simptoma i položaju zuba. U Smile Studiju Rijeka stomatolozi pristupaju svakoj situaciji individualno, s ciljem smanjenja upale i očuvanja zdravlja okolnih struktura.
Konzervativno liječenje koristi se kod blažih upala i uključuje ispiranje antiseptičkim otopinama (klorheksidin, vodikov peroksid), profesionalno čišćenje desni, antibiotsku terapiju kod širenja infekcije te analgetike za ublažavanje boli i otoka. Ovaj pristup ublažava simptome i stabilizira stanje prije konačne terapije.
Ako je umnjak nepravilno položen, djelomično izrastao ili uzrokuje ponavljajuće upale, najčešće rješenje je kirurško vađenje zuba. Zahvat se izvodi u lokalnoj anesteziji, bezbolno i brzo, uz minimalnu traumu tkiva zahvaljujući suvremenim tehnikama i preciznim instrumentima.
Kako bi se ubrzalo cijeljenje i smanjila mogućnost postoperativnih tegoba, u Smile Studiju Rijeka često se koristi PRF metoda (Platelet Rich Fibrin) – napredna biološka terapija koja koristi vlastitu krv pacijenta za prirodnu regeneraciju tkiva. Nakon vađenja zuba, u šupljinu nastalu zahvatom postavlja se PRF membrana, bogata trombocitima i faktorima rasta. Ona potiče brže zacjeljivanje, smanjuje rizik od infekcije, ublažava otok i bol te potiče stvaranje novog koštanog i mekog tkiva.
Primjena PRF-a potpuno je sigurna jer se koristi vlastiti biološki materijal, bez ikakvih umjetnih dodataka. Ova metoda predstavlja dodatni korak prema bržem i ugodnijem oporavku, a pacijentima pruža veću sigurnost i bolje dugoročne rezultate.
U težim slučajevima, kada se infekcija proširila, potrebno je dodatno liječenje antibioticima i drenaža upalnog sadržaja, uz kontrolirane preglede i praćenje procesa cijeljenja.
Oporavak nakon zahvata
![]()
Nakon što se upala umnjaka sanira ili zub izvadi, važno je pravilno se oporaviti. U prvim danima preporučuje se izbjegavati tople napitke i hranu, ne ispirati usta prvih 24 sata, ne dirati ranu jezikom ili prstima, primjenjivati hladne obloge te uzimati propisane lijekove. U Smile Studiju Rijeka pacijenti dobivaju detaljne upute za oporavak i kontrolni pregled kako bi se spriječile komplikacije.
Ako se upala zanemari, može doći do širenja infekcije na okolne mišiće i kosti, stvaranja apscesa, poteškoća s gutanjem i disanjem, oštećenja susjednih zuba ili sistemskih infekcija. Zato je ključno reagirati odmah pri prvim simptomima i posjetiti stomatologa.
Prevencija – kako spriječiti upalu umnjaka
Najbolja prevencija uvijek je pravodobna stomatološka kontrola. Stomatolozi Rijeka u Smile Studiju preporučuju redovite preglede, osobito u razdoblju kada se očekuje nicanje umnjaka – u kasnoj adolescenciji i ranim dvadesetima. Savjeti za prevenciju uključuju: svakodnevnu higijenu stražnjih zuba, upotrebu konca i interdentalnih četkica, redovito čišćenje kamenca i reakciju na svaku bol ili oteklinu u području umnjaka. U nekim slučajevima, ako je vidljivo da umnjak neće moći pravilno izrasti, preventivno vađenje može spriječiti buduće komplikacije.
Smile Studio Rijeka već godinama pomaže pacijentima u rješavanju problema s umnjacima i drugim dentalnim stanjima. Tim stručnjaka pristupa svakom pacijentu individualno – s naglaskom na preciznu dijagnostiku, bezbolne tretmane i ugodno iskustvo. Pacijenti posebno cijene kombinaciju stručnosti i topline, jer svaki zahvat, pa i onaj manji, zahtijeva povjerenje i pažnju. Upala umnjaka nije samo prolazna nelagoda – to je signal da u ustima postoji infekcija koja se može proširiti. Brza reakcija i pregled kod stomatologa ključni su za sprječavanje komplikacija i očuvanje zdravlja usne šupljine. Ako osjećate bol, oteklinu ili sumnjate na upalu, obratite se stručnjacima iz Smile Studija Rijeka – jer vaše zdravlje počinje osmijehom.
(Sponzorirani članak)

